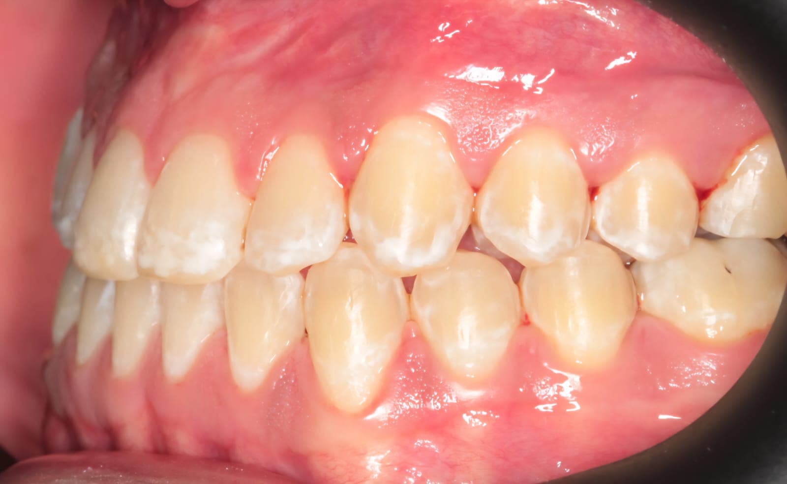
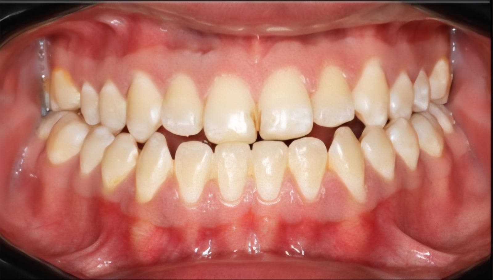
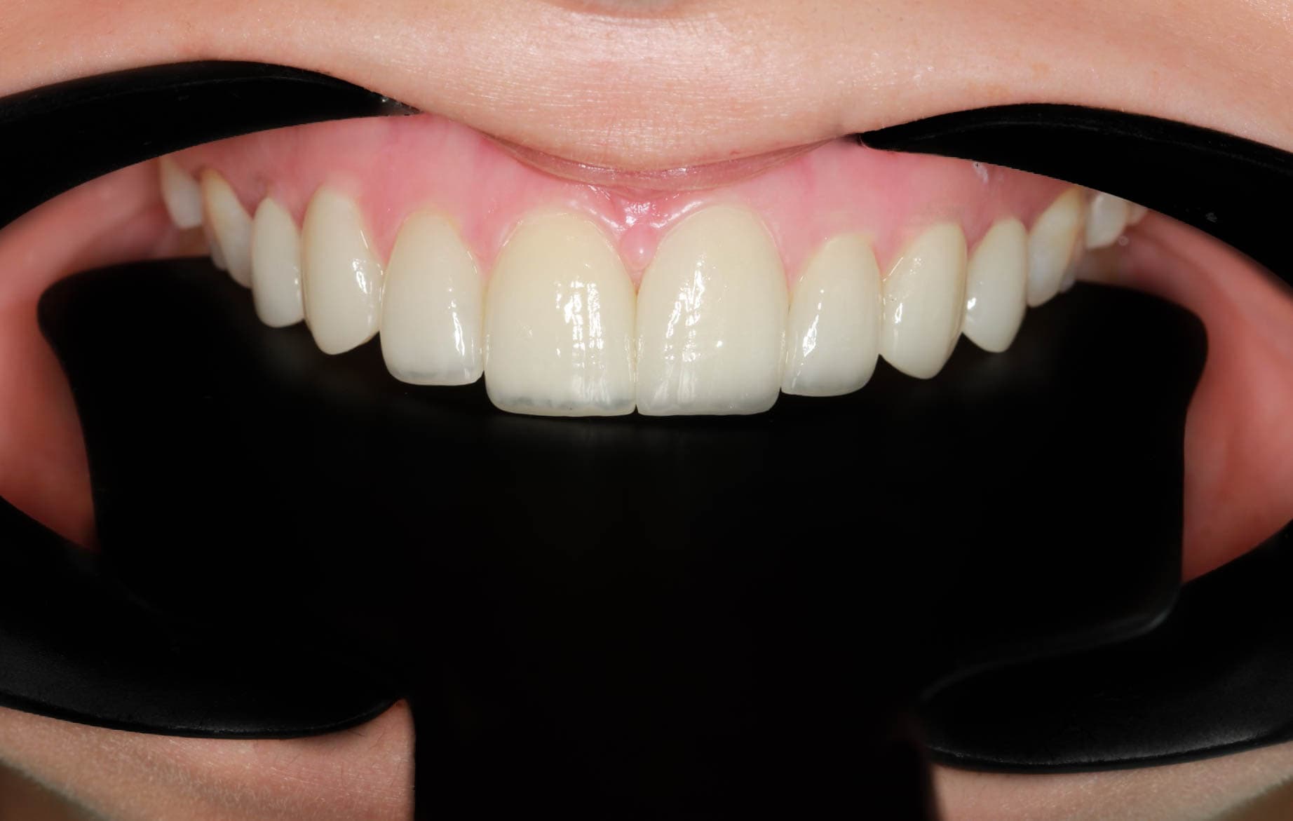
I traveled all the way from Canada to Ibaro clinic in Medellin to replace my crowns and handle some dental maintenance, and I couldn't be happier. The crowns are incredible—they are indistinguishable from my real teeth. The precision and quality are world-class. If you are looking for top-tier dental work abroad, I highly recommend this clinic for their professionalism and flawless results!
Leer más →

















































