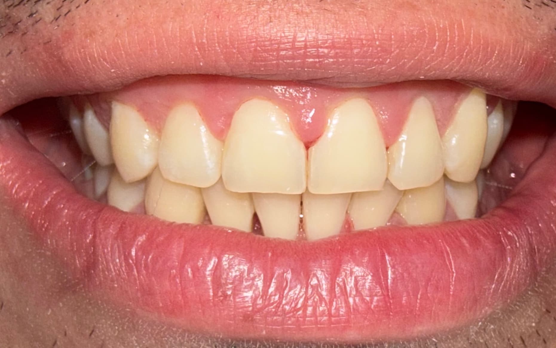
I had my cosmetic dental treatment done by Dr. Jessica, recommended by a friend. It went very well and I love my new smile. I liked everything: the service, the location, and the results.
Read more →We are updating this profile to your selected language.
You can keep reviewing this profile while we finish preparing the translated version.
Use mouse/touch to drag. Keyboard: arrows, Home and End.


I had my cosmetic dental treatment done by Dr. Jessica, recommended by a friend. It went very well and I love my new smile. I liked everything: the service, the location, and the results.
Read more →I've been a patient of Dr. Jessica Bermúdez for several years now, and I appreciate her work and service. I recommend her to my family and friends whenever I can.
Read more →Excellent. The service and the results were both fantastic. I had my teeth whitened and the results are still absolutely flawless. They were very kind, and I highly recommend Dr. Jessica. If you have the opportunity to have any treatment or procedure done at her office, don't miss it, because it's well worth it.
Read more →Excellent, completely satisfied with the treatments and results. The service was both warm and professional, and I highly recommend them. Great value for money.
Read more →My sisters and I have been going to Dr. Jessica's clinic for several years now, and the service is excellent. The doctors who work with her are very experienced and friendly, and the facilities are modern and beautiful. I highly recommend her.
Read more →Select to see details.


Colombia, Carrera 23 , 124-87, Bogotá D.C., Bogotá D.C., 011101, (Edificio al lado de Mac Donald’s )
Hours may vary on holidays. Please write to us to confirm.